Clinical benefits

Real-time insight into fresh tissue

Instant cellular and architectural information that supports precise intraoperative decisions and streamlines the diagnostic workflow.

Refined Diagnostics aims to bring molecular-level tissue imaging directly into the surgical workflow, giving surgeons and pathologists real-time insight into tissue architecture and cellular morphology while bridging the gap between both disciplines.

This enables rapid intraoperative assessment of tumor margins and early indications of tumor type – key factors for surgical precision and treatment planning.

Combined with molecular fingerprinting, it can significantly shorten diagnostic workflows, boosting confidence, reducing repeat procedures, and supporting earlier treatment decisions.

What we deliver

Instant access to diagnostic structures

The histological features today’s pathology teams rely on, visualized in minutes.

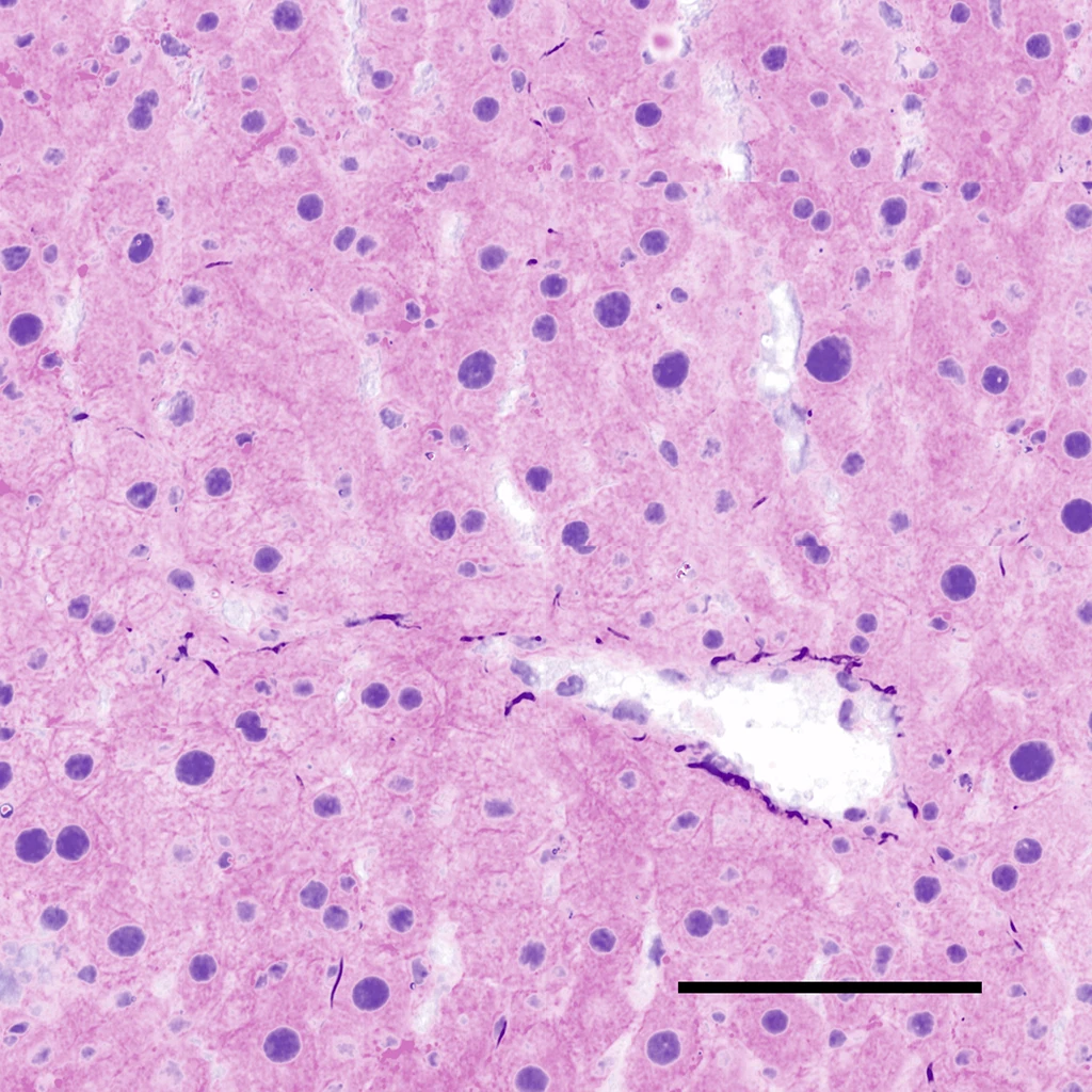
Virtual H&E image of healthy liver tissue

Virtual H&E image of healthy liver tissue

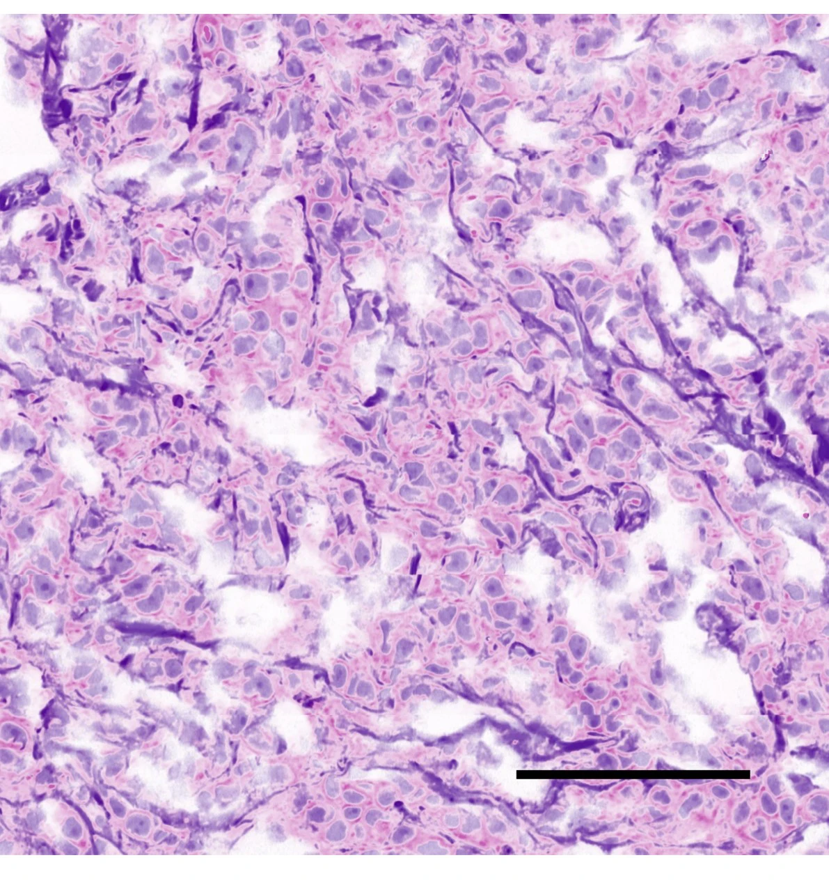
Virtual H&E image of cancerous breast tissue

Virtual H&E image of cancerous breast tissue

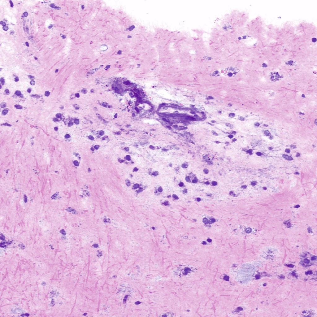
Virtual H&E image of a Glioblastoma tissue

Virtual H&E image of a Glioblastoma tissue

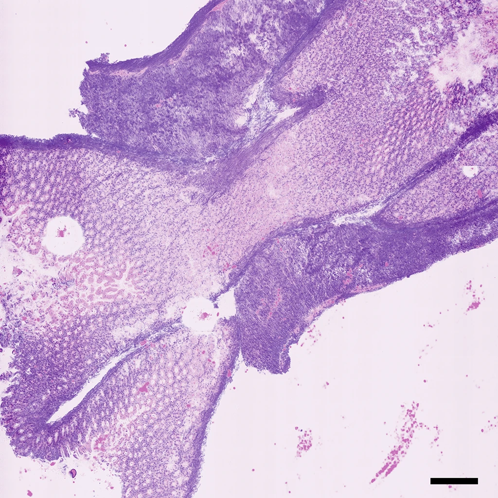
Virtual H&E image of a mouse stomach (2mm x 2mm)

Virtual H&E image of a mouse stomach (2mm x 2mm)

Zoomed in image of mouse stomach (360µm x 360µm)

Zoomed in image of mouse stomach (360µm x 360µm)

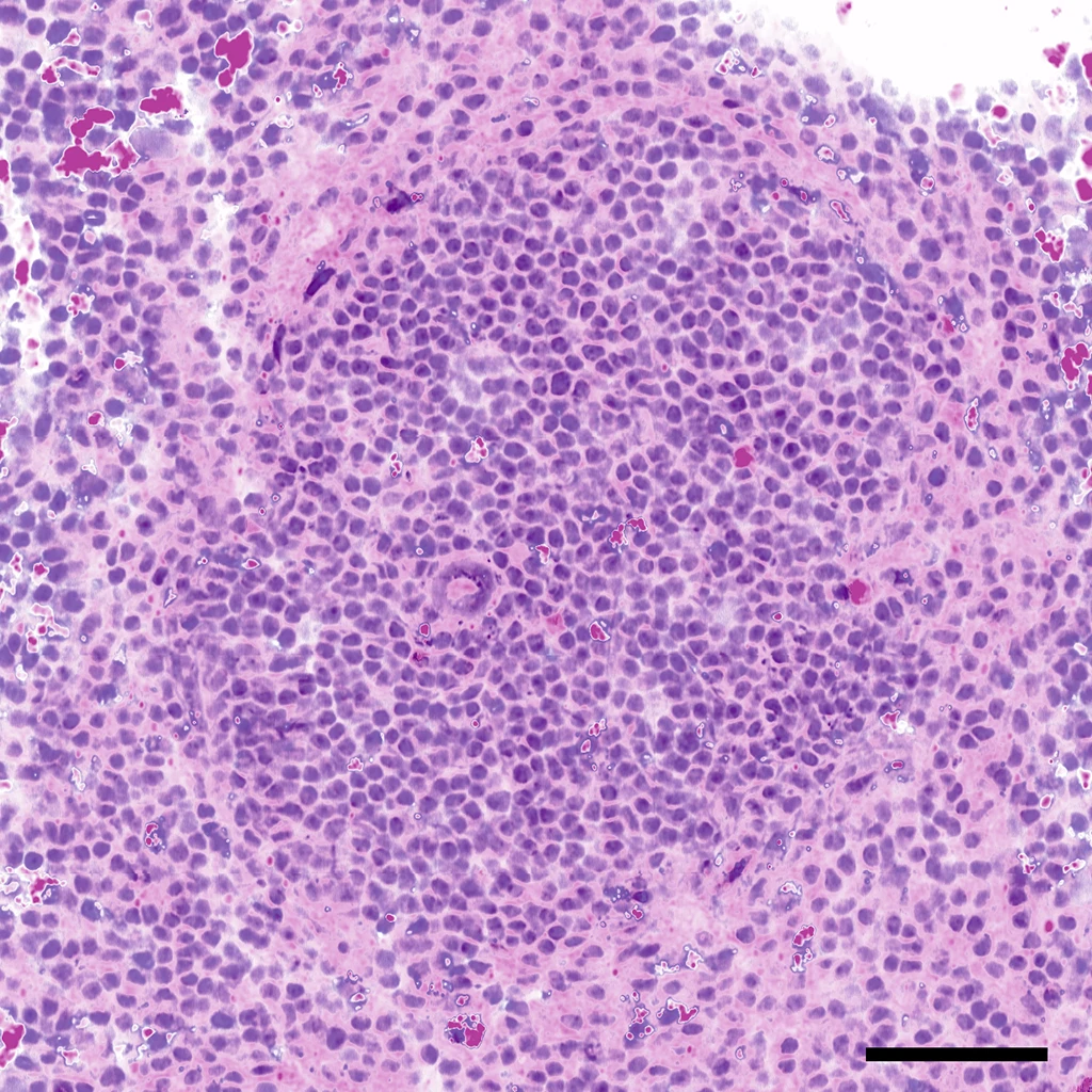
Virtual H&E image of spleen tissue

Virtual H&E image of spleen tissue

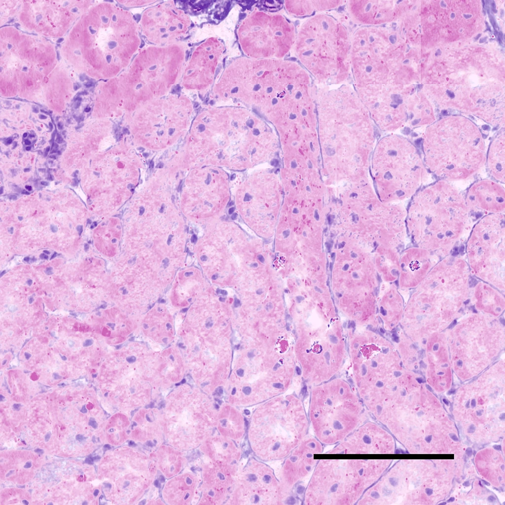
Virtual H&E image of kidney tissue

Virtual H&E image of kidney tissue

Virtual histology with real-time molecular insight

Refined Diagnostics generates virtual histology from fresh, unstained tissue, visualizing cellular morphology and tissue architecture with contrast comparable to standard stains. It also captures structural and metabolic features, including endogenous cofactors like NADH and FAD, in 3D datasets.

Unlike conventional histology, these images are obtained without staining or sectioning. Biopsies can be placed directly into the system for immediate imaging while remaining intact for downstream analyses.

Beyond morphology, the Raman-based molecular fingerprint provides spatially resolved biochemical information that complements established techniques such as IHC, PCR, and DNA analysis, opening new possibilities for tumor classification, biomarker discovery, and AI-driven pathology.

Why it matters

Precision, delivered in real time

A unified platform for adequacy assessment, surgical guidance, and rapid molecular insight.

Refined Diagnostics Platform

Lung biopsy adequacy

For patients with suspicious lung nodules, diagnosis often involves days of uncertainty and repeat biopsies when samples are insufficient. Refined Diagnostics delivers on-site adequacy assessment within minutes, allowing immediate quality confirmation and fast resampling. This reduces anxiety, shortens the diagnostic path, and improves clinical efficiency.

Tumor surgery

During resections, surgeons often depend on visual judgment and delayed pathology, leading to repeat surgeries when residual tumor is found later. Refined Diagnostics provides real-time visualization of tissue architecture in the OR, supporting precise margin detection and preservation of healthy tissue. This increases confidence and lowers the need for follow-up interventions.

Tumor classification

Molecular and immunohistochemical data typically require days to obtain. Refined Diagnostics extracts molecular fingerprints directly from fresh tissue, adding actionable context to intraoperative morphology. This can accelerate diagnostic workflows and enable earlier insights into tumor biology and potential biomarkers.

Workflow

Sample to decision in just three steps

Seamless integration of preparation-free tissue imaging into surgical and pathology workflows for faster insight.

1

Sample placement

Sample placement

Position the fresh, unstained tissue on the imaging stage with no further processing.

2

Image capture

Image capture

Aquila acquires Raman and additional signals within minutes, generating depth-resolved data.

3

Data interpretation

Data interpretation

Morpho-molecular details support decisions during surgery and guide diagnostic review.

Accelerated clinical decisions

Refined Diagnostics integrates seamlessly into existing workflows. Fresh, unstained tissue is placed directly into the system with no preparation. Within minutes, high-resolution cellular and structural data are available for review, sharing, and documentation. The three steps—place, image, interpret—provide diagnostic-level insight at the point of care and enable faster, coordinated decisions.

Our solution

Aquila is built to fit seamlessly

Learn more about system specifications, imaging performance, and integration options.

Refined Diagnostics Aquila

Selected partners and clients

Selected partners and clients

Fondazione Policlinico Universitario Agostino Gemelli Klinikum Bayreuth Massachusetts General Hospital University Hospital Münster University Hospital RWTH Aachen University Hospital Carl Gustav Carus Dresden

Contact

Join the future of cancer diagnostics

Request a free demo or talk to our team – no strings attached.